
Parestesia u hormigueo en los pies: ¿Qué significa?
El hormigueo en algunas zonas de nuestro cuerpo es una sensación habitual que a veces experimentamos sin saber el origen. La parestesia en los pies

El hormigueo en algunas zonas de nuestro cuerpo es una sensación habitual que a veces experimentamos sin saber el origen. La parestesia en los pies

Podoactiva renueva su colaboración para las dos próximas temporadas como Official Supplier de Podología y Biomecánica del Valencia CF. La compañía líder en su sector

El “hallux rigidus” es una patología que produce una disminución de movimiento de la primera articulación metatarsofalángica del dedo gordo del pie…

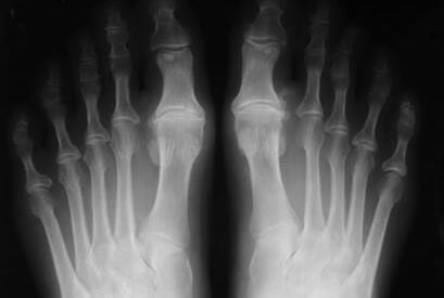
¿QUÉ ES LA SINDACTILIA O TENER LOS DEDOS PEGADOS? La sindactilia es la fusión de dos o más dedos que se encuentran conectados entre sí. Se trata de…

El pádel es uno de los deportes más populares en la actualidad, especialmente en España y en algunos países de América Latina. Este deporte ha

Parestesia u hormigueo en los pies: ¿Qué significa?
El hormigueo en algunas zonas de nuestro cuerpo es una sensación habitual que a veces experimentamos sin saber el origen. La parestesia en los pies

Podoactiva renueva su colaboración para las dos próximas temporadas como Official Supplier de Podología y Biomecánica del Valencia CF. La compañía líder en su sector

Hallux Rigidus: Qué es y cómo se trata
El “hallux rigidus” es una patología que produce una disminución de movimiento de la primera articulación metatarsofalángica del dedo gordo del pie…

Sindactilia o dedos pegados: Tipos, causas y tratamiento
¿QUÉ ES LA SINDACTILIA O TENER LOS DEDOS PEGADOS? La sindactilia es la fusión de dos o más dedos que se encuentran conectados entre sí. Se trata de…

¿Qué zapatillas de pádel comprar? Claves para elegir las mejores para tus pies
El pádel es uno de los deportes más populares en la actualidad, especialmente en España y en algunos países de América Latina. Este deporte ha
Buscar en el blog
Encuentra tu clínica Podoactiva más cercana
Artículo Destacado
REVISTA DE PODOACTIVA




Fondo Europeo de Desarrollo Regional
"Una manera de hacer Europa"

Fondo Europeo de Desarrollo Regional
"Una manera de hacer Europa"
| Cookie | Duración | Descripción |
|---|---|---|
| cookielawinfo-checkbox-necessary | 11 months | This cookie is set by GDPR Cookie Consent plugin. The cookies is used to store the user consent for the cookies in the category "Necessary". |
| cookielawinfo-checkbox-functional | 11 months | The cookie is set by GDPR cookie consent to record the user consent for the cookies in the category "Functional". |
| cookielawinfo-checkbox-performance | 11 months | This cookie is set by GDPR Cookie Consent plugin. The cookie is used to store the user consent for the cookies in the category "Performance". |
| cookielawinfo-checkbox-analytics | 11 months | This cookie is set by GDPR Cookie Consent plugin. The cookie is used to store the user consent for the cookies in the category "Analytics". |
| cookielawinfo-checkbox-others | 11 months | This cookie is set by GDPR Cookie Consent plugin. The cookie is used to store the user consent for the cookies in the category "Other. |
| viewed_cookie_policy | 11 months | The cookie is set by the GDPR Cookie Consent plugin and is used to store whether or not user has consented to the use of cookies. It does not store any personal data. |