Rockers del pie. ¿Cuántos son y para qué sirven?
04 Jul 2024El fenómeno de desplazarnos caminando a través de nuestros pasos lo conocemos como marcha humana. Desde el punto de vista biomecánico, no existen dos...
El fenómeno de desplazarnos caminando a través de nuestros pasos lo conocemos como marcha humana. Desde el punto de vista biomecánico, no existen dos...
Entre las diversas estructuras que componen el pie, la placa plantar juega un papel crucial en la estabilidad, el equilibrio y la distribución del peso...
¿QUÉ ES LA ARTROSIS? La artrosis es una enfermedad de carácter crónico producida por el desgaste del cartílago de las articulaciones. Es la enfermedad reumática...
A menudo, acuden a consulta pacientes con dolor en la punta del “dedo gordo del pie” con varios meses de evolución, refiriendo no haber sufrido...
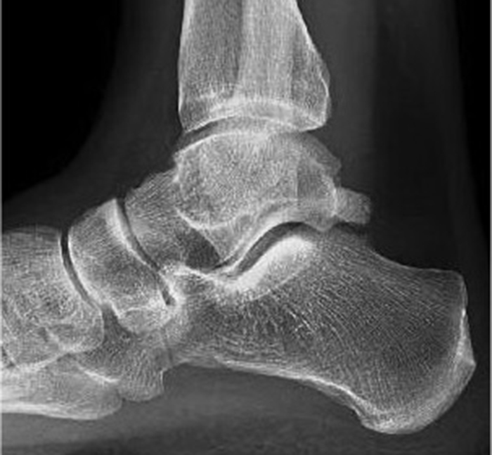
En la imagen mostramos una radiografía lateral en carga de un paciente con limitación a la flexión dorsal del tobillo. El paciente padece el síndrome...
Uno de los problemas biomecánicos más comunes en el pie son el grupo de las metatarsalgias. El origen del dolor que producen dicha patología es...




Fondo Europeo de Desarrollo Regional
"Una manera de hacer Europa"

Fondo Europeo de Desarrollo Regional
"Una manera de hacer Europa"
| Cookie | Duración | Descripción |
|---|---|---|
| cookielawinfo-checkbox-necessary | 11 months | This cookie is set by GDPR Cookie Consent plugin. The cookies is used to store the user consent for the cookies in the category "Necessary". |
| cookielawinfo-checkbox-functional | 11 months | The cookie is set by GDPR cookie consent to record the user consent for the cookies in the category "Functional". |
| cookielawinfo-checkbox-performance | 11 months | This cookie is set by GDPR Cookie Consent plugin. The cookie is used to store the user consent for the cookies in the category "Performance". |
| cookielawinfo-checkbox-analytics | 11 months | This cookie is set by GDPR Cookie Consent plugin. The cookie is used to store the user consent for the cookies in the category "Analytics". |
| cookielawinfo-checkbox-others | 11 months | This cookie is set by GDPR Cookie Consent plugin. The cookie is used to store the user consent for the cookies in the category "Other. |
| viewed_cookie_policy | 11 months | The cookie is set by the GDPR Cookie Consent plugin and is used to store whether or not user has consented to the use of cookies. It does not store any personal data. |