Fibroma plantar: Causas, síntomas y tratamientos
06 Feb 2025Un dolor en el arco del pie puede convertirse en un obstáculo importante para realizar actividades cotidianas como practicar deporte o incluso estar de pie durante largos periodos. Esta molestia puede deberse a diversas causas y desembocar en una de las patologías más comunes que es el fibroma plantar. Cuando el dolor persiste o aparece un bulto en la planta del pie, es fundamental identificar el origen del problema para aplicar el tratamiento más adecuado.

¿Qué es el fibroma plantar?
El fibroma plantar es un nódulo benigno que se forma en la fascia plantar, una banda gruesa de tejido conectivo que proporciona soporte al arco del pie. Este bulto suele ser de crecimiento lento, aunque en algunos casos puede aumentar de tamaño con el tiempo.
Cuando aparecen varios nódulos, se conoce como fibromatosis plantar o enfermedad de Ledderhose. Aunque puede presentarse en cualquier persona, es más frecuente en hombres de mediana edad. A diferencia de otras patologías del pie, el fibroma plantar no está relacionado con infecciones ni con procesos cancerosos. Sin embargo, su presencia puede generar dolor o incomodidad al realizar actividades cotidianas.

Causas del fibroma plantar
Las causas exactas del fibroma plantar no se conocen con certeza. Aunque estos factores pueden influir, muchas personas desarrollan fibromas plantares sin presentar ninguna de estas condiciones. No obstante, se han identificado varios que podrían estar relacionados con su aparición:
- Microtraumatismos repetitivos: Actividades que implican un uso excesivo de la fascia plantar, como correr, saltar o caminar largas distancias, pueden favorecer la formación de estos nódulos.
- Factores genéticos: Existe una predisposición hereditaria en algunas personas, especialmente en aquellos con antecedentes familiares de fibromatosis plantar o fibromatosis en otras partes del cuerpo (como la enfermedad de Dupuytren en las manos).
- Alteraciones biomecánicas: El pie cavo (arco plantar muy elevado) o el pie valgo (arco colapsado hacia el interior) pueden generar una mayor tensión en la fascia plantar, lo que incrementa el riesgo de desarrollar un fibroma.
- Enfermedades asociadas: Algunas condiciones médicas, como la diabetes, la epilepsia o la enfermedad hepática crónica, se han vinculado a un mayor riesgo de padecer fibromatosis plantar.
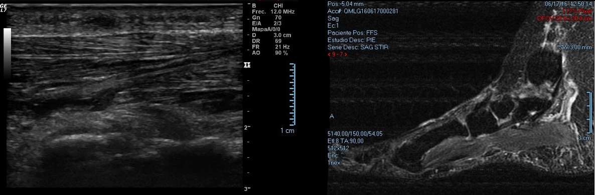
Diagnóstico y síntomas
En general se pueden diagnosticar mediante la exploración clínica y una correcta anamnesis. A su vez nos apoyaremos en ecografías o RMN para visualizar la masa fusiforme, delimitar el grosor y diferenciar estructuras afectadas. A nivel de la zona dolorosa se puede apreciar una formación fusiforme de 15 mm hipoecogénica adyacente a la fascia plantar.

Los fibromas por si solos no causan dolor, es la presión directa sobre el fibroma la que puede dar lugar a dolor en arco plantar cuando caminamos, estamos de pie o en la práctica deportiva. Normalmente los síntomas se describen como sensación de cuerpo extraño en la planta del pie (como una piedra dentro del calzado) cuando traccionamos la fascia plantar.
El síntoma principal del fibroma plantar es la presencia de un bulto palpable en el arco del pie. En las primeras etapas, este nódulo puede ser pequeño y no causar molestias. Sin embargo, a medida que crece o si está ubicado en una zona de apoyo, puede generar dolor en el arco plantar y rigidez en la fascia plantar.
Tratamiento del fibroma plantar
El tratamiento del fibroma plantar varía en función de la intensidad de los síntomas y del impacto en la vida diaria del paciente. En la mayoría de los casos, se opta por un enfoque conservador antes de considerar la cirugía. Por un lado en estadios iniciales de fase aguda:
- Masoterapia
- Electroterapia
- Ondas de choque
- Estiramientos
- Medicación antiinflamatorio no esteroideo
- Infiltración local con corticoides
- Plantillas personalizadas

En estadios de la lesión en los cuales todos los tratamientos citados anteriormente no han conseguido reducir la molestia y la masa sigue creciendo impidiendo realizar cualquier tipo de actividad, se valora la cirugía como tratamiento definitivo.
Como ya hemos visto anteriormente, el exceso de tracción de la fascia plantar está íntimamente relacionado con el origen causante de la lesión, de ahí la importancia de conocer con un completo estudio biomecánico las causas reales de la lesión e incidir con un tratamiento de plantillas personalizadas en un correcto reparto de cargas acompañado con descargas selectivas, evitando así el apoyo de la zona afecta.








ROCIO APLOLINAR JUAN
Posted at 19:40h, 09 juliocosto dela cirugia de fibroma
costo dela cirugia de fibroma plantar
Podoactiva
Posted at 09:27h, 10 julioBuenos días Rocío. Las
Buenos días Rocío. Las intervenciones quirúrgicas las realizamos en Clínica Podoactiva Olavide en Madrid (https://goo.gl/iFLwVE) y en Clínica Podoactiva Sagasta en Zaragoza (https://goo.gl/oEzcU4). En los enlaces anteriores encontrará el teléfono para que pueda ponerse en contacto con el centro y le digan el coste total de la cirugía. Un saludo.