Enfermedad de Sever o apófisis calcánea. ¿Qué es?
27 Sep 2023¿Has oído hablar alguna vez de la enfermedad de Sever? Se trata de una afección del pie frecuente en niños que practican mucho deporte.
En este artículo te explicamos qué es exactamente, sus causas, síntomas, tratamiento y algunas medidas de prevención y cuidado que debes conocer.

¿Qué es la Enfermedad de Sever?
La Enfermedad de Sever o apófisis calcánea es una causa frecuente de dolor en el talón infantil. Suele aparecer entre los 7 y los 12 años de edad y es más frecuente en el género masculino y en aquellos niños que realizan actividad deportiva.
¿Cuál es el origen de la Enfermedad de Sever?
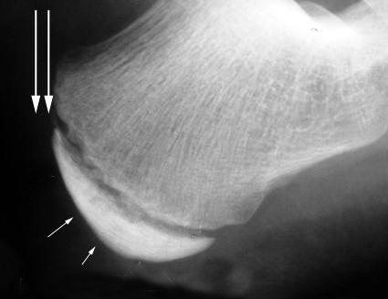
La apófisis calcánea es una inflamación aguda del cartílago por el desarrollo del talón. Durante el periodo de crecimiento se genera tensión muscular en el Tendón de Aquiles y la fascia del pie.

¿Cuándo suele aparecer?
En los primeros estadios suele aparecer dolor en el talón al finalizar la práctica deportiva y desaparece tras un periodo breve de reposo.
Si no se pone solución, el dolor va aumentando, apareciendo al inicio del deporte y permaneciendo en días posteriores. Incluso en estadios muy avanzados puede llegar a provocar el cese de cualquier actividad que tenga repercusión en la musculatura posterior de la pierna y un impacto contra el suelo (correr, saltar…).
El comienzo de la sintomatología suele estar relacionado con la realización de actividades deportivas como el fútbol, el baloncesto y la gimnasia.
¿Cómo se puede tratar?
Al tratarse de una patología provocada por la tracción excesiva y repetida del Tendón de Aquiles y fascia plantar, el tratamiento irá encaminado a disminuir esa tensión.

Tenemos que distinguir dos fases en el tratamiento:
- Fase aguda del tratamiento: Se aconseja el uso de terapias antiinflamatorias (hielo, masaje, antiinflamatorios, etc.) y la reducción de la actividad deportiva.
- Segunda fase: Se trata de evaluar las causas por las que se produce el aumento de tensión en la fascia plantar y buscar soluciones definitivas. En este momento, es especialmente importante realizar un correcto estudio biomecánico de la pisada. En la mayor parte de los casos la causa está en una determinada forma de pisar.
Mediante la realización de una plantilla personalizada correcta se pueden evitar las recaídas y el niño puede continuar con normalidad su actividad deportiva en un periodo corto de tiempo.
Abandonar el deporte debería ser la última opción posible. Es muy importante intentar fomentar la actividad física y el deporte en los niños y esta es una lesión fácilmente solucionable mediante el tratamiento adecuado.
Con el 3D Scan Podoactiva, patentado a nivel mundial, se consigue obtener una imagen en 3D del pie que permite una adaptación perfecta al tratamiento de la plantilla personalizada.
¿Es necesario acudir al podólogo por la enfermedad de Sever?
Desde Podoactiva, como especialistas en podología deportiva y podología infantil, recomendamos acudir a un podólogo especializado si detectamos los primeros síntomas, ya que es importante realizar un correcto diagnóstico de la marcha. Aunque suele ser una patología asociada a “dolores del crecimiento”, en la mayor parte de los casos tiene un alto componente biomecánico.
Con el tratamiento adecuado podemos evitar que el niño abandone la práctica deportiva. Una vez que hemos conseguido relajar la fascia plantar es muy importante mantener una pauta regular de estiramientos.








Eva María Rubiales García
Posted at 00:35h, 10 febreroHola a mi hijo le an
Hola a mi hijo le an detectado esa enfermedad después de sufrir un acidente de trafico en la que se rompió la pelvis por 4 partes más el sacro mi pregu ya como le a podido salir esa enfermedad si a estado en reposo absoluto cuando lo normal es cuando el niño está en pleno ejercicio.
Podoactiva
Posted at 10:10h, 11 febreroBuenos días Eva María. Por
Buenos días Eva María. Por aquí no podemos darle un diagnóstico preciso, ya que sería necesario ver a su hijo en consulta y realizar un estudio biomecánico de la pisada. Si lo desea, puede localizar su centro Podoactiva más cercano y la información de contacto (teléfono, horario, dirección, email…) en el siguiente enlace, donde encontrará un mapa con todos ellos: https://goo.gl/4H2V0d. Gracias por escribirnos. Un saludo.