Separadores de dedos: ¿Realmente benefician la salud del pie?
12 Nov 2024En los últimos años, el uso de los separadores de dedos ha ganado popularidad. Estos aparatos, que prometen corregir la posición de los dedos y mejorar la biomecánica, son vistos como una solución para aliviar molestias y evitar ciertas deformidades. Sin embargo, estudios recientes realizados por Podoactiva cuestionan su eficacia.
Ver esta publicación en Instagram
¿Qué son los separadores de dedos y para qué se utilizan?
Los separadores de dedos son dispositivos de silicona o gel que se colocan entre los dedos de los pies. Su popularidad ha crecido debido a que afirman que están diseñados para mantener los dedos separados, con la finalidad de corregir su alineación y aliviar molestias asociadas a problemas como el juanete, la sobrecarga o las callosidades.
Para determinar si realmente los separadores de dedos aportan beneficios, en Podoactiva hemos llevado a cabo un análisis en profundidad utilizando tres métodos de evaluación biomecánica: rayos X, análisis de presiones en plataforma y termografía.

Prueba de rayos X: ¿Mejoran la alineación de los dedos?
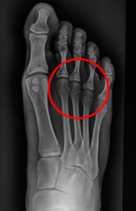
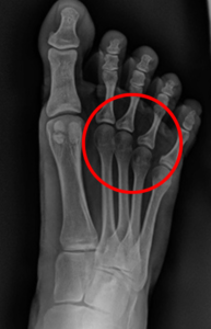
El análisis de rayos X es una de las pruebas más reveladoras, ya que permite observar el impacto estructural de los separadores de dedos en el pie. Estos aparatos realmente consiguen una separación de los dedos aumentando el espacio entre ellos. Ahora bien, podríamos pensar que esa separación también se produce en el espacio entre las cabezas metatarsales.

Radiografía de paciente sin separador de dedos
Al hacer las radiografías con los separadores puestos observamos que mientras se separan los dedos, se produce un efecto cizalla y se aproximan los metatarsianos. Es decir, a nivel metatarsal generan un efecto parecido a llevar un calzado que nos comprimiese. Es importante resaltar que entre las cabezas metatarsales discurre el paquete vascular y nervioso que va a cada uno de los pies. Generar una disminución de ese espacio puede agravar ciertas patologías como el Neuroma de Morton.

Radiografía de paciente con separador de dedos
Bajo nuestro criterio, no tiene sentido que, si el objetivo de los separadores de dedos es que el pie se expanda, coloquemos algo que hace el efecto contrario en los metatarsianos.
Análisis de Presiones: ¿Cómo afectan los separadores de dedos a la distribución de la carga en los pies?
Otro aspecto importante evaluado fue la distribución de presiones en el pie, tanto en posición estática como en movimiento. Para ello, se empleó una plataforma de presiones, que mide la forma en la que el peso corporal se distribuye en las diferentes áreas del pie.

Cuando hablamos de la marcha, tenemos tres rockers. El primero es cuando el talón choca con el suelo, el segundo cuando el pie se aplana en el suelo y los dedos se abren y el tercero cuando propulsamos para despegar. Es en este último momento los dedos deben juntarse para hacer un despegue eficiente. Cuando usamos separadores de dedos, este despegue es ineficiente porque impide juntarse a los dedos en esa ultima fase del paso.

Esto se objetiva cuando realizamos un estudio dinámico (caminando) con los separadores puestos sobre la plataforma de presiones. Vemos que al no poder realizar un despegue eficiente, se genera una sobrecarga metatarsal central al usar los separadores. Esa sobrecarga mantenida en las cabezas del segundo y tercer metatarsiano pueden generar otras patologías a medio plazo.
Termografía: La circulación de la sangre con los separadores de dedos
La termografía es una técnica que permite detectar variaciones de temperatura en la piel, lo que resulta útil para identificar posibles zonas de inflamación o problemas circulatorios. Al analizar los pies después del uso de separadores de dedos, se observó una disminución de temperatura en algunas zonas donde el dispositivo está en contacto con la piel. Comercialmente se ha dicho en muchas ocasiones que usar un separador de dedos, mejoraba la circulación sanguínea.

Cámara termográfica. En el pie izquierdo del paciente lleva separador de dedos, el derecho no.
El retorno venoso se origina en la suela venosa de Lehards que es una estructura situada en la planta del pie. Como si fuesen un conjunto de celdillas que se llenan de sangre cuando el pie está en el aire y que en cada paso permite que la sangre inicie el retorno venoso. Por eso es muy beneficioso para el retorno venoso caminar y especialmente cuando lo hacemos en superficies blandas como la hierba o la arena de la playa porque esa suela venosa contacta totalmente contra el suelo. Es el mismo efecto que se consigue en determinados pacientes con pies cavos cuando se adapta una plantilla elástica que aumenta el funcionamiento de dicha bomba de retorno.
El llevar un separador de dedos no va a afectar al retorno venoso del pie ya que como hemos comentado eso se produce en una estructura que está en la planta y no le va a afectar el uso o no de ese aparato en los dedos.

Lo que hemos observado es que el anillo del separador de dedos que rodea cada dedo, dependiendo de la geometría de cada pie, puede haber pacientes en los que generará una compresión (una especie de torniquete) limitando la circulación sanguínea de los dedos. Eso se puede manifestar con el cambio de coloración de uno o varios dedos (que se pongan mas blanquecinos). Este déficit de aporte sanguíneo es muy peligroso ya que puede llegar a dañar los nervios que inervan los dedos.
Nuestro consejo es que si usando el separador de dedos, alguno de los dedos cambia de coloración, debe de retirarse de inmediato.
Conclusión
En conclusión, pensamos que es buenísimo hacer cosas descalzado y movilizar los dedos. Pero creemos que usar un separador de dedos no nos aportar ninguna ventaja biomecánica y sí varios inconvenientes. Es importante reflejar que este dispositivo no se cuenta con ningún tipo de catalogación como producto sanitario y en su origen estaba destinado a separar los dedos mientras se pintaban las uñas de los pies.
Nuestro consejo es liberar el pie, calzarse con la horma más respetuosa que nos sea posible, hacer ejercicios de movilización de los dedos pero no aconsejamos el uso de separadores genéricos de dedos.

Alternativas a los separadores de dedos para el cuidado del pie
Para quienes buscan una mejora en la alineación o alivio en los dedos, es recomendable acudir a alternativas respaldadas por profesionales de la podología. Entre las opciones que un podólogo puede proponer se encuentran las pautas correctas de ejercicios, mejorar el calzado habitual, usar ortesis de siliconas personalizadas para mejorar la alineación de los dedos, etc.
En algunos casos con deformaciones importantes es imprescindible la realización de algunas cirugías que permitan volver a alinear los dedos. Hoy ese tipo de cirugías se realizan de forma totalmente ambulatoria mediante técnicas de cirugía de mínima incisión. Ante cualquier duda, estaremos encantados de poder realizar un estudio personalizado en cualquiera de nuestras clínicas.
Dr. Víctor Alfaro. MSc,PhD
Podólogo especialista en biomecánica
Director General Podoactiva







